Mẹ Yêu Con ORG

Mẹ tròn - Con vuông

  • Home
  • Mẹ mang thai
  • Chăm sóc bé
  • Giáo dục trẻ
  • Góc tư vấn
  • Sức Khỏe Phụ Nữ
  • Làm đẹp
  • Tin tức

Quá trình thụ thai

Giúp các cặp vợ chồng tính toán cơ hội mang thai tại nhà

Các nhà khoa học mới tìm ra được 1 công thức rất đơn giản có thể giúp các cặp vợ chồng tính được khả năng thụ thai tự nhiên của ...

Thực hư về các biện pháp tăng khả năng thụ thai

Với những cặp vợ chồng đang muốn sinh con thì họ luôn đi tì một đáp án cho câu hỏi "Làm thế nào để nhanh đậu thai nhất?". Có nhiều ...

Thế nào là sinh sản hỗ trợ?

Sinh sản hỗ trợ là một thuật ngữ nói lên rằng có những cặp vợ chồng tự thân không thể sinh ra những đứa trẻ mà phải nhờ đến sự ...

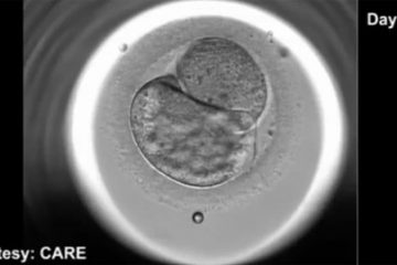
Cha mẹ có thể chứng kiến giây phút con được thụ thai

Với một loại kính hiển vi mới, các bác sĩ sản khoa có thể quan sát được quá trình hình thành và phát triển của phôi liên tục trong ...

Cần bao lâu thì mới có thể thụ thai?

Không thể khẳng định chính xác cần bao lâu thì vợ chồng bạn mới có thể đậu thai. Tuy vậy, các chuyên gia vẫn có thể đưa ra cho bạn ...

7 điều thú vị về mẹ mang thai và giới tính thai nhi

Thai kỳ là giai đoạn mang đến rất nhiều sự biến đổi cả về sinh lý lẫn tinh thần cho người mẹ. Những sự biến đổi ấy bao gồm cả ...

Muốn có con thì bạn cần biết 10 cơ hội tốt nhất để thụ thai (theo Đông Y)

Thời nhà Minh (Trung Quốc), danh y Trương Cảnh Nhạc đã nghiên cứu toàn diện các lý luận về tình dục học của các bậc tiền nhân, kết ...

Đạt cực khoái có dễ thụ thai không?

Hỏi: Chào BS, lần thứ 1 em có gần chồng sau 2 ngày kể từ ngày sạch kinh, em và anh ấy cùng đạt cực khoái nhưng sau 7 ngày em thử ...

Tuần thứ hai của thai kỳ

Cho dù tuần này được tính là tuần thai thứ 2, nhưng thực ra lúc này quá trình thụ thai chưa thành công ở đầu tuần. Mãi đến khoảng ...

Những “sai lầm” khiến cho bạn khó thụ thai

"Yêu" quá nhiều hoặc quá ít đều là những "sai lầm" cơ bản khiến cho bạn chưa thể có tin vui, ngoài ra có cả những sai lầm do tính ...

  • 1
  • 2
  • »

Bài viết đọc nhiều

Mẹ có bị thiếu sắt khi cho con bú không?

Mẹ có bị thiếu sắt khi cho con bú không?

Nghén ngọt là trai hay gái? Một vài lưu ý cho mẹ

Nghén ngọt là trai hay gái? Một vài lưu ý cho mẹ

Bầu nghén chua là trai hay gái? Có sao không?

Bầu nghén chua là trai hay gái? Có sao không?

Trào ngược dạ dày nên ăn gì, uống gì thì tốt?

Trào ngược dạ dày nên ăn gì, uống gì thì tốt?

Sinh con năm Thìn: trào lưu và hệ lụy

Sinh con năm Thìn: trào lưu và hệ lụy

Trang chuyên thông tin về sức khỏe, tình yêu và hạnh phúc cho Mẹ, bé & Gia đình.

Theo dõi chúng tôi:

Thông tin và điều khoản
  • Chính sách biên tập và chỉnh sửa
  • Chính sách bảo mật thông tin
  • Chính sách quảng cáo và tài trợ
  • Tiêu chuẩn cộng đồng

Mọi thông tin trên trang chỉ mang tính chất tham khảo và bạn hoàn toàn chịu trách nhiệm về những quyết định của mình.

Copyright © 2017 Meyeucon.org. All rights reserved. by Caia.vn